치료증례
한울치과는 가족을 치료하는 마음으로 가장 효율적인 시기에 꼭 필요한 치료만 권하겠습니다.
HANWOOL ORTHODONTICS
돌출입
한울치과교정과치과의원의 돌출입 치료 증례를 보여드립니다.
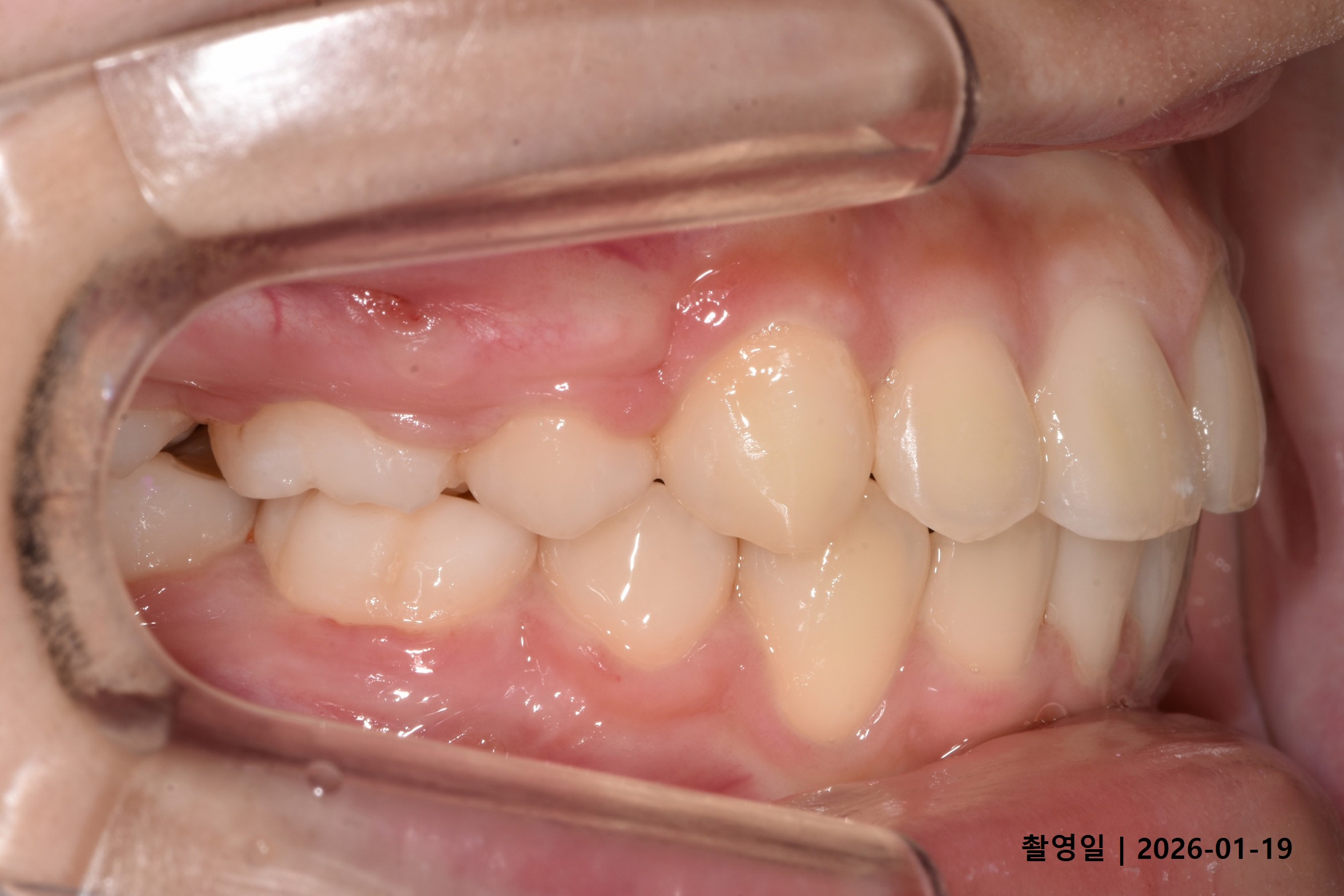
Case 1
- 15세 여성
- 상하악소구치 발치
- 치료기간 3년 4개월
치료 전
치료 후
치료 전
치료 후
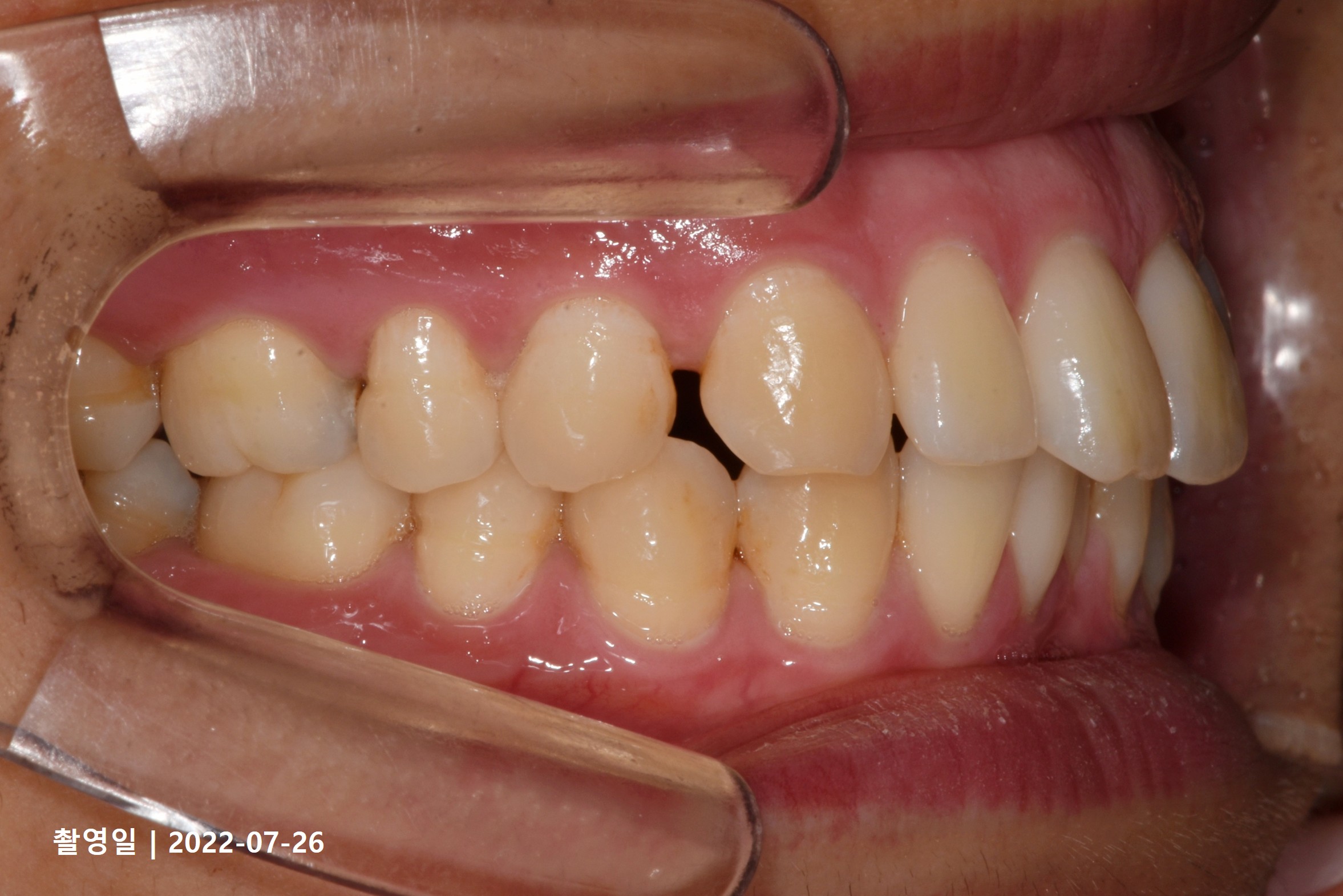
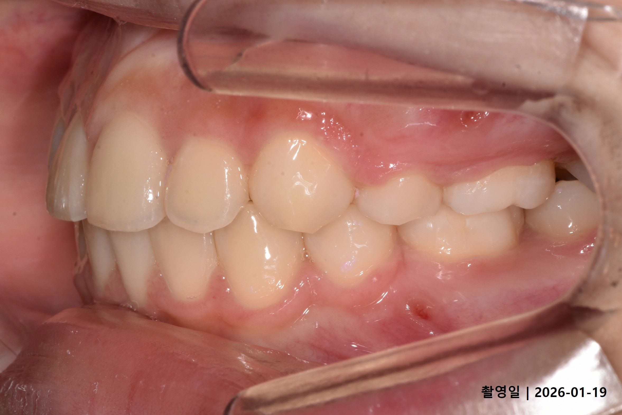
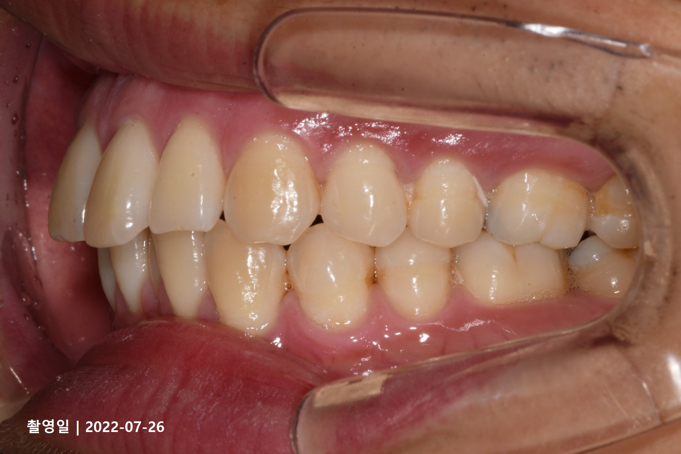
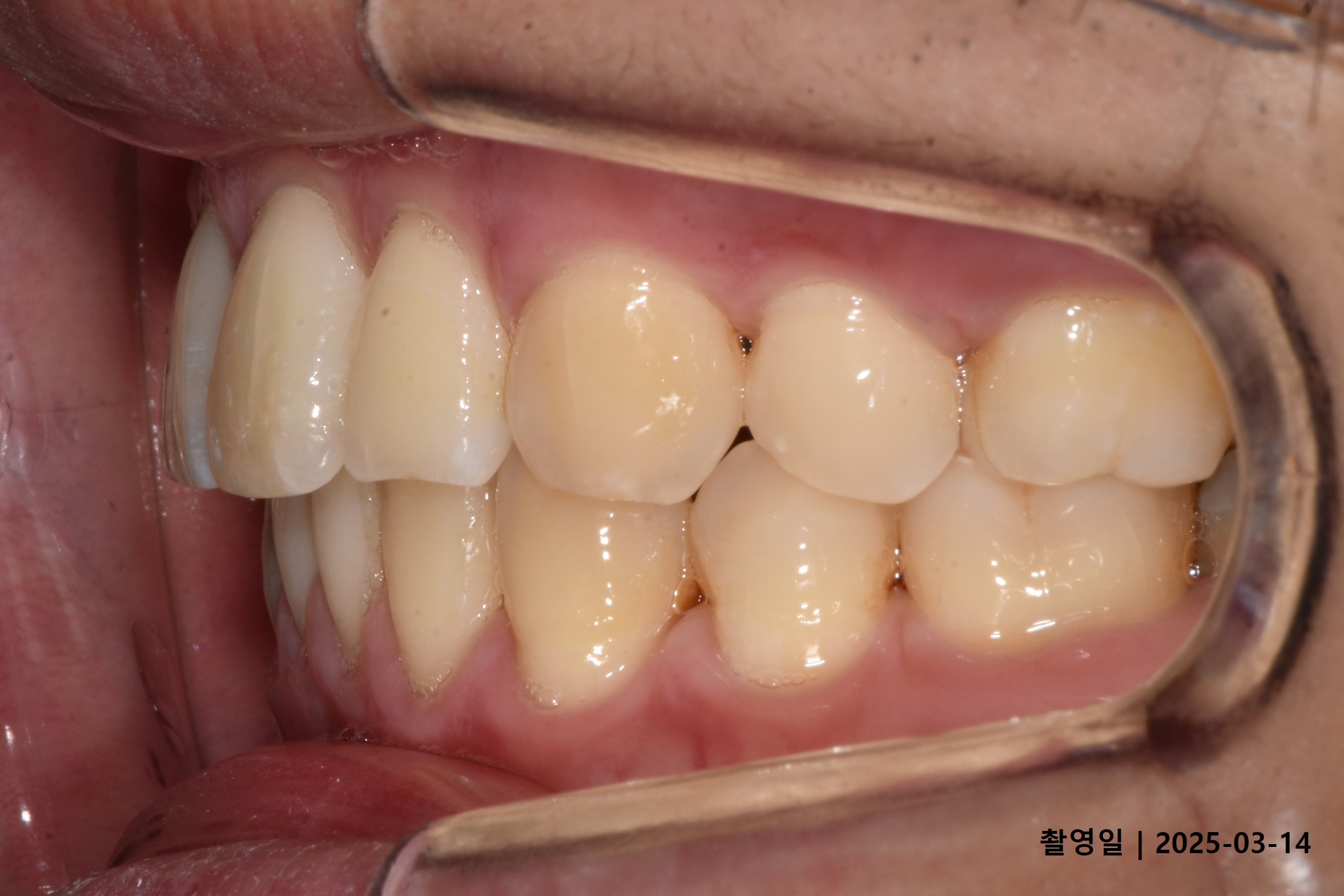
Case 2
- 24세 여성
- 상하악소구치 발치
- 치료기간 2년 1개월
치료 전
치료 후
치료 전
치료 후
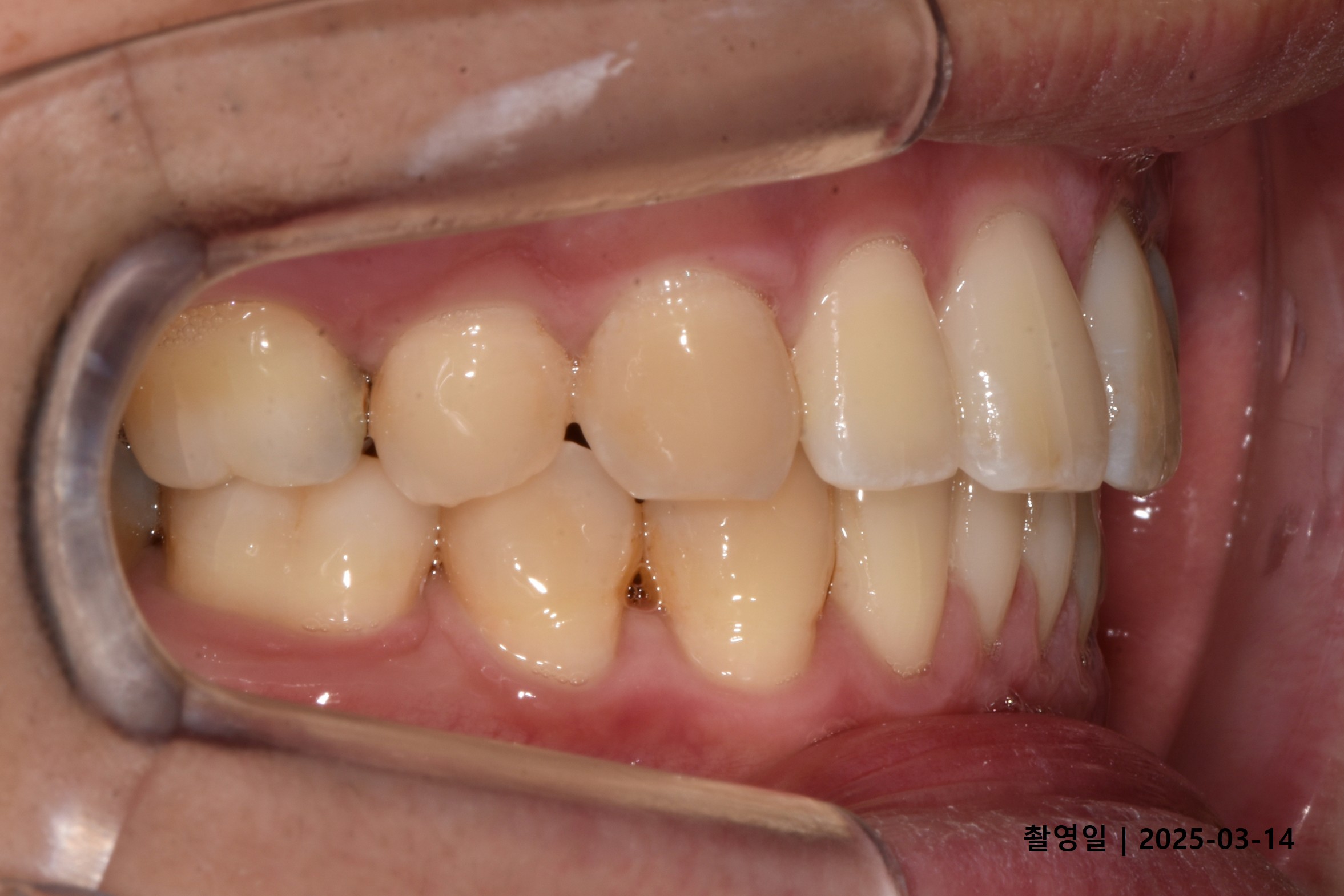
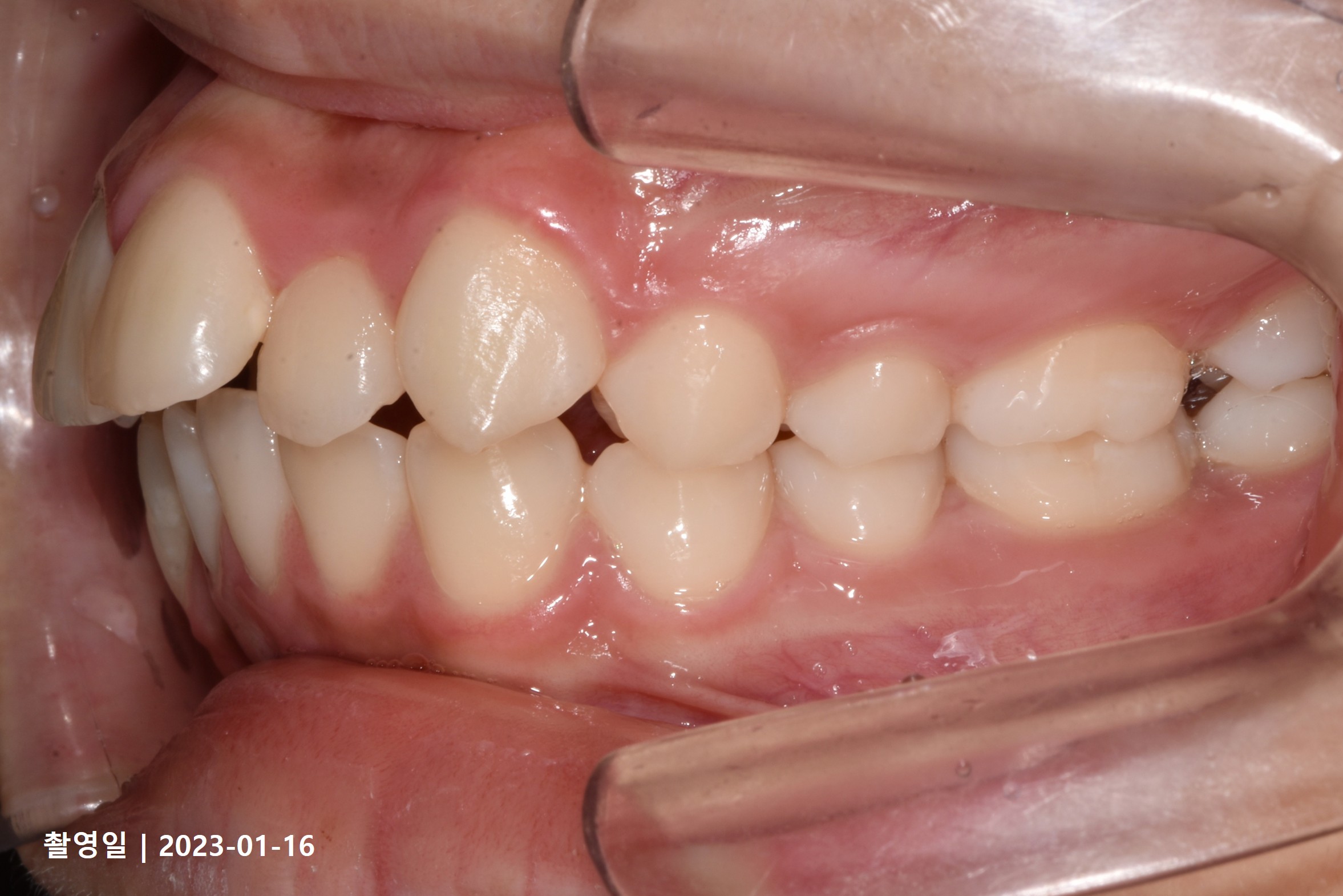
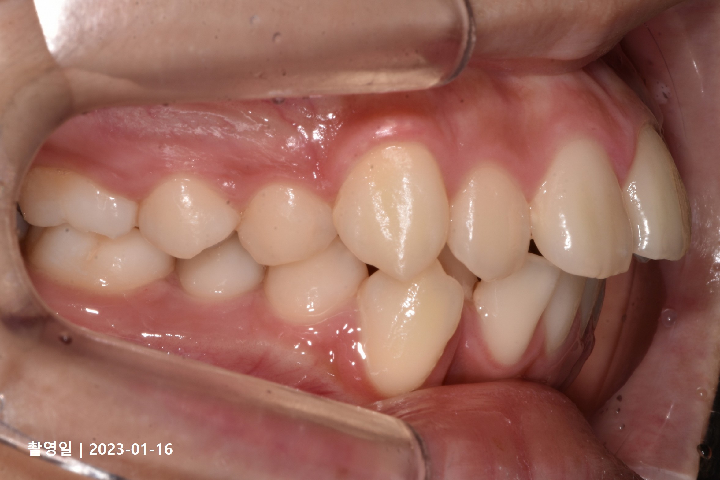
Case 3
- 14세 남성
- 상하악소구치 발치
- 치료기간 2년 6개월
치료 전
치료 후
치료 전
치료 후
Case 4
- 19세 여성
- 상하악소구치 발치
- 치료기간 2년 8개월
치료 전
치료 후
치료 전
치료 후
교정치료 결과는 환자마다 다를 수 있고, 다음의 부작용이 발생할 수 있습니다.
(전치부 치근흡수, 실활로 인한 치아변색, 불량한 구강위생으로 인한 치아우식과 치주염 발생 등)
